西湖七月半原文及翻译(西湖七月半内容)
2025-11-27 15:48:59
nut什么意思
第28个全国肿瘤防治宣传周刚刚过去不久,今年宣传周的主题是“癌症防治,早早行动”。倡导每个人做自身健康的第一责任人,主动参与癌症防治,做到早预防、早发现、早诊断、早治疗,切实遏制癌症对大众的危害。
肺癌作为我国发病率和死亡率均居首位的恶性肿瘤,堪称“癌症头号杀手”。根据组织病理学特点的不同,肺癌分为小细胞肺癌和非小细胞肺癌。其中非小细胞肺癌(NSCLC)占所有肺癌的85%,肺腺癌、鳞癌等都属于非小细胞肺癌。
针对肺癌中的这些常见类型,目前有多种治疗手段和药物可供选择。但有一种极为罕见的肺癌类型——NUT癌,目前却还没有标准的治疗手段,下文我们结合病例带大家初步了解。
NUT在英文里的意思是“坚果”,不过这儿它和坚果没什么关系,NUT是“睾丸核蛋白”的简称。NUT癌是一种组织起源不明的罕见的高度侵袭性恶性肿瘤, 好发于儿童、青年的中线器官,因此又被称为中线癌。
Kees和Kubonishi分别于1991年首先报道了这一罕见类型肿瘤。2015年,世界卫生组织(WHO)修订了其2004年版的肺部肿瘤分类,将NUT癌纳入其中,全称“伴睾丸核蛋白(NUT)基因重排的中线癌”。这类肿瘤可以发生在人体各个部位,共同点是存在NUT基因突变。
33岁的A先生因两周内多次出现少量咯血到当地医院就诊。他平时身体健康,生活习惯良好,从不吸烟,工作中也没有接触过有毒有害物质。医生还了解到他的亲属也没有罹患恶性肿瘤、自身免疫疾病及凝血障碍疾病的病史。
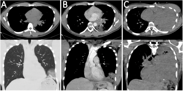
随后医生为A先生完善了辅助检查。血化验报告提示仅有轻度贫血,其他正常。胸部CT显示左下肺有一个大小3.4×4.4公分的阴影,周围是磨玻璃样改变,右肺存在直径最大0.3公分的散在实性结节(图1A)。结合病史,磨玻璃阴影可能和出血有关,A先生首先接受了抗感染和对症治疗。
治疗的疗效如何?阴影究竟是不是炎症呢?一个月后,A先生再次到门诊随访胸部CT。他的咯血症状确实好转,磨玻璃样阴影消散了,但此时胸部CT上却看到了磨玻璃改变下的肿块影—阴影面积增大至4.9×4.2公分;此外,CT还显示A先生的第7胸椎(T7) 出现溶解性病变,右锁骨上、右气管上段和隆突下淋巴结肿大(图1B)。

图1. A先生首次就诊(A)、4周后(B)、20周后(C)的胸部CT表现
显然,这个病灶没有当初想象的那么简单。医生随即为A先生进行了超声支气管镜检查,通过穿刺肿块取材送病理学检查。病理医生在镜下找到了低分化的肿瘤细胞,为了区分组织学亚型,他们进一步进行免疫组化染色,结果提示AE1/AE3(+)、 CAM5.2(+)、p63(+)、p40部分(+);而TTF1、NapsinA、CD56、Synaptophysin和Chromogranin A均为(-)。Ki-67增殖指数高达30%(数值越高代表肿瘤增殖越快),PD-L1低表达(TPS评分<1%)。这些结果提示“低分化鳞状细胞癌”。
由于出现了血道转移,A先生只能接受姑息治疗。根据他的组织类型和Ki-67指数,医生推荐马上开始一线使用帕博利珠单抗联合白蛋白紫杉醇和卡铂治疗。不久后,A先生送检Sema4实体瘤检测报告提示,他的基因组存在NUT-BRD4融合突变,他的修正诊断为“左肺低分化NUT-C,c-T2bN3M1c,IVB期”。同时不理想的化疗疗效,也不支持先前单纯低分化鳞癌的诊断。PET-CT及MRI检查,提示A先生T4、T8-T10、T12椎体出现了新的多发转移。随后,他便接受了针对这些部位的放射治疗。
治疗两个周期后的再次PET-CT评估显示,A先生原先的椎体病灶有缓解。但不幸的是,四个周期后,他的头颅和脊柱多个部位出现了新发病灶,疾病再次进展了。随后,为了缓解他的脊髓压迫症状,医生为其进行了部分椎体(C2-T2)的椎板切除术、左侧T1椎弓根减压术和C6-T2融合术。常规送检的切除病灶病理提示肿瘤为“低分化 SCC,伴有弥漫分布的核NUT1阳性染色”(图2)。

图2. A先生椎体切除病灶的组织病理染色(40×)(A)HE染色;(B)NUT染色
A先生的临床状况进一步恶化,出现了进行性发展的呼吸困难、再次出现了咯血以及顽固性背痛。后续随访胸部CT,他的左肺几乎被肿瘤所占据,在影像学上已经不能正常显示(图1C)。医生尝试二线化疗但效果不理想,病情进一步发展,A先生出现了呼吸衰竭和感染性休克,在初诊后不到半年(出现症状后5.8个月,确诊后4.7个月),A先生不幸离开了。
研究者结合A先生的病例进行文献回顾学习,发现NUT癌存在一些特征:
1、发病年龄相对轻,中位确诊年龄仅为30岁。目前尚无证据表明NUT癌与吸烟、家族肿瘤史等肺癌常见危险因素的关联性;
2、主要临床表现可为多样,咳嗽和呼吸困难最常见,也可以表现为咯血、胸痛、发热、转移性骨痛等;
3、组织学上表现为低分化鳞癌,常误诊。融合形式以NUT-BRD4最常见,占75%。
NUT这一凶险的罕见肿瘤,常常因为表现出低分化鳞癌的病理特征而被忽视。临床上,在按照鳞癌方案治疗效果不佳时,可以考虑对NUT融合基因进行检测。实际上,2025年的非小细胞肺癌NCCN指南,推荐对所有缺乏腺体分化或特定病因的低分化类型肿瘤进行NUT重排的检测,特别是对非吸烟者或年轻患者。遗憾的是,对于原发性肺NUT癌,还没有标准的治疗手段和管理策略。
文献报道,具有BRD4-NUT癌蛋白的NUT癌患者,可能可以接受溴结构域和末端溴结构域 (BRD) 抑制剂治疗。2016年OTX015/MK-8628(一种新型口服BET抑制剂)的一项研究评估了该药物在四名确诊的晚期NUT癌患者中的疗效。两名患者迅速应答,出现肿瘤消退和症状缓解,一名患者病情稳定。
最近,另一种BRD抑制剂molibresib的I期研究在65名NUT癌和其他实体瘤患者中进行。在19名NUT癌患者中,4名患者达到已确认或未确认的部分缓解,8名病情稳定,4名超过六个月没有疾病进展。
我们期待更多的研究,为进一步认识以及最终克服这一类型的肿瘤提供证据支持。
参考文献:Bruno Almeida Costa, et al. Primary Pulmonary NUT Carcinoma: Case Illustration and Updated Review of Literature. Clinical Lung Cancer. 2025; published online. doi: 10.1016/j.cllc.2025.03.001.
2025-11-27 15:48:59
2025-11-27 15:46:45
2025-11-27 15:44:30
2025-11-27 15:42:15
2025-11-27 15:40:00
2025-11-27 15:37:45
2025-11-27 15:35:31
2025-11-27 15:33:16
2025-11-27 15:31:01
2025-11-27 15:28:46
2025-11-27 05:27:38
2025-11-27 03:15:43
2025-11-27 03:13:28
2025-11-27 03:11:13
2025-11-27 03:08:58
2025-11-27 03:06:44
2025-11-26 22:03:46
2025-11-26 22:01:31
2025-11-26 21:59:16
2025-11-26 21:57:01